FieldStrength MRI magazine
User experiences - April 2017
In a patient with HIV and cardiovascular risk factors, MRI with Black Blood imaging helped to diagnose brain vasculitis. The same MRI protocol was later also used to noninvasively confirm treatment response.

A 56-year-old patient presented in the Emergency Room at Erasme Hospital in Brussels, Belgium, with recurrent left leg weakness that had been occurring over a period of 24 hours. The patient was known to have been HIV infected for four years, but was not treated for this infection. The patient had multiple cardiovascular risk factors such as obesity, glucose intolerance, arterial hypertension and hyper cholesterolemia. The neurological examination showed left leg hemiparesis.
After a conventional routine MR imaging examination, the suspicion of vasculitis arose, therefore we performed an MRI including Black Blood imaging in a separate session. The dedicated ExamCard includes diffusion, FLAIR, MR angiography using TOF, and 3D T1 MRA with bolus injection. This ExamCard also includes Black Blood imaging before and after contrast. This examination was performed on our Ingenia 3.0T. Black Blood scan time 4:39 min, acquired voxel size 0.75 x 0.75 x 1.0 mm, 21 slices.
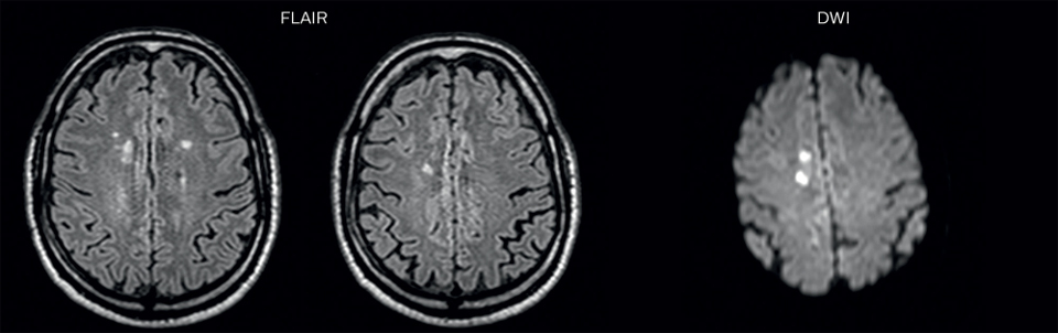
On FLAIR images we can see some nonspecific high signal abnormalities in frontal white matter bilaterally. On DWI we can see acute ischemic lesions which appear with high signal intensity. Arrows show vessel wall enhancement which appears concentric and homogeneous in different cerebral territories.



On the routine MR sequences that we did, we could see acute ischemic lesions. We see them very well on the diffusion images, where acute ischemic lesions usually appear with high signal intensity and restricted diffusion. However, the etiology of these lesions cannot be derived from these images. An area of restricted diffusion was seen in the anterior cerebral artery territory and we concluded it was an ischemic lesion. On MR angiography we can just see if there is stenosis or vessel occlusion, but it does not provide us information on the etiology of this kind of lesion. So, we decided to perform Black Blood imaging. The presence and the pattern of vessel wall enhancement on Black Blood imaging, can help us to determine the etiology of the lesion. differentiate vasculitis from other causes of vasculopathy, such as atherosclerosis, with a high specificity [1-3]. In an atherosclerotic lesion, vessel wall thickening and enhancement are usually eccentric, while in vasculitis the wall thickening and enhancement are usually concentric, homogenous, and in a long portion of the vessel. of patients whenever their treatment is installed in order to determine the efficacy of a particular treatment. In this case the Black Blood imaging helped us to suggest the diagnosis of HIV-related brain vasculitis.
Many studies have shown that Black Blood imaging can help
Furthermore, this imaging can also be used for the follow-up
had, such as glucose intolerance, arterial hypertension and hypocholesteremia, his lesions could be atherosclerotic lesions or vasculitis, conditions which require different treatment. Especially in this patient with HIV infection causing the vasculitis, treatment of the two conditions is different. The results of MRI with Black Blood imaging, helped to choose the preferred treatment for this patient, which was based on antiviral medication rather than an antiaggregant or anticoagulation treatment which is usually given to patients with risk of ischemia based on atherosclerotic lesions. One month after beginning the antiviral treatment, the same MRI examination was repeated and again 8 months after the beginning of treatment. On follow-up images, we see the enhancements have almost disappeared. So in case of this patient, the MRI exam with Black Blood imaging helped us to give the patient the appropriate treatment and also allowed us to noninvasively confirm the treatment response.
With the multiple cardiovascular risk factors this patient
After one month of treatment, post-contrast Black Blood images at the exact same levels as in the figure above show disappearance of the vessel wall enhancements which were seen on the previous examination.

wall thickening and enhancement patterns that occur in vasculitis, and help us distinguish it from atherosclerotic lesions. Imaging techniques such as time-of-flight (TOF) MR angiography are not very sensitive or specific for this kind of lesions. Other possible diagnostic methods are intra-arterial angiography or brain biopsies which are both invasive.
Black Blood imaging can help us to noninvasively visualize vessel
on all patients with ischemic lesions in the brain, because in most patients the lesion origin is embolic or atherosclerotic. We typically use it in young patients (less than 60 years old) or those patients without cardiovascular risk factors. We find it important to use Black Blood imaging in such cases, because treatment is different for a patient with vasculitis.
We do not perform this examination with Black Blood imaging
1. Swartz RH, Bhuta SS, Farb RI, Agid R, Willinsky RA, Terbrugge KG, et al. Intracranial arterial wall imaging using high-resolution 3-tesla contrast-enhanced MRI. Neurology. 2009 Feb 17;72(7):627–34. cerebral vasoconstriction syndrome and central nervous system vasculitis. AJNR Am J Neuroradiol. 2014 Aug;35(8):1527–32. Multicontrast high-resolution vessel wall magnetic resonance imaging and its value in differentiating intracranial vasculopathic processes. Stroke J Cereb Circ. 2015 Jun;46(6):1567–73. Immunodeficiency Virus-Associated Cerebral Angiitis to the Combined Antiretroviral Therapy. Front. Neurol., 13 March 2017, doi.org/10.3389/fneur.2017.00095 other cases may vary.
2. Obusez EC, Hui F, Hajj-Ali RA, Cerejo R, Calabrese LH, Hammad T, et al. Highresolution MRI vessel wall imaging: spatial and temporal patterns of reversible
3. Mossa-Basha M, Hwang WD, De Havenon A, Hippe D, Balu N, Becker KJ, et al.
4. Cheron J, Wyndham-Thomas C, Sadeghi N, Naeije G. Response of Human
Results from case studies are not predictive of results in other cases. Results in

Philips Black Blood imaging is 3D brain imaging with reduced intraluminal blood signal1 over the complete imaging volume in the brain. It helps you to better differentiate intraluminal blood signal from other signal, which can enhance diagnostic confidence. The Black Blood sequence allows • fast2, isotropic 3D imaging • higher spatial resolution3 • reformatting in any plane without loss of resolution 1. Compared to our 3D T1W scan without MSE prepulse 2. Compared to our 2D double inversion recovery methods with same full brain coverage 3. Compared to our 2D double inversion recovery methods with same brain coverage and scan time Philips Black Blood imaging is 3D brain imaging with reduced intraluminal blood signal1 over the complete imaging volume in the brain. It helps you to better differentiate intraluminal blood signal from other signal, which can enhance diagnostic confidence. The Black Blood sequence allows • fast2, isotropic 3D imaging • higher spatial resolution3 • reformatting in any plane without loss of resolution 1.Compared to our 3D T1W scan without MSE prepulse 2.Compared to our 2D double inversion recovery methods with same full brain coverage 3.Compared to our 2D double inversion recovery methods with same brain coverage and scan time

You are about to visit a Philips global content page
ContinueВеб-сайт призначений лише для лікарів та медичних працівників, які використовують медичне обладнання в своїй професійній діяльності; осіб, які працюють в сфері організації охорони здоров’я або які реалізовують медичне обладнання.
Ви належите до вищезазначених категорій осіб?